Medical Examinations

ultrasound

Ultrasonography

Ultrasonography (US) is a completely painless, radiation-free and safe diagnostic examination method.

color-doppler

Color Power Doppler

The Color Power Doppler examination visualizes the complex flow of blood through vessels and organs of the human body in real-time.

elastography

Elastography

Elastography examination assesses the stiffness of human body tissue.

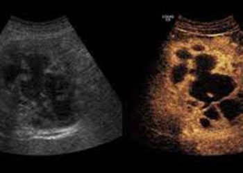
CEUS

CEUS

During Contrast Enhanced Ultrasound examinations the patient is injected with microbubbles. Specialized medical software visualizes the flow of the microbubbles through all vessels and organs. CEUS is useful in oncology and infection cases.

biopsy

Prostate Biopsy

Prostate Biopsy in an interventional procedure during which a needle is guided through US and Elastography to extract tissue from suspicious Prostate lesions and determine the presence of cancerous cells.

fna

Thyroid FNA

Thyroid Fine Needle Aspiration Biopsy in an interventional procedure during which a needle is guided through US and Elastography to extract tissue from suspicious Thyroid lesions and determine the presence of cancerous cells.

intestine

Transrectal US intestine examination

Α specialized US transducer in direct contact with the anus visualizes neoplasms. Infections and fistulas.

proathlitikos_elegxos

Προαθλητικός Έλεγχος

Η εξέταση περιλαμβάνει λήψη ιστορικού της οικογένειας, ιστορικό του εξεταζόμενου, φυσική εξέταση του κυκλοφορικού συστήματος, ηλεκτροκαρδιογράφημα, μέτρηση αρτηριακής πίεσης.

stress_test

Τέστ κοπώσεως

COVID-19 Επισκευτείτε μας σε συνθήκες απόλυτης ασφάλειας